Search Videos and More

Showing 1 - 12 of 20 results

Previous| 1 | 2 |Next


Higher dose of semaglutide increases weight loss, metabolic benefits News

Higher dose of semaglutide increases weight loss, metabolic benefits

Tripling the standard amount could safely treat patients with greater weight reduction goals, clinical trial led by UTSW researcher shows
UTSW Recognized for Care of Patients with Rare Neuroendocrine Tumors News

UTSW Recognized for Care of Patients with Rare Neuroendocrine Tumors

UT Southwestern is best hospital in DFW for ninth straight year News

UT Southwestern is best hospital in DFW for ninth straight year

Twelve specialties are nationally ranked – the most of any hospital in Texas – by U.S. News & World Report
Popular diabetes/weight-loss drugs show additional benefit News

Popular diabetes/weight-loss drugs show additional benefit

Diabetes patients with related chronic kidney disease have better long-term outcomes on GLP1-RA therapies, UTSW researchers find
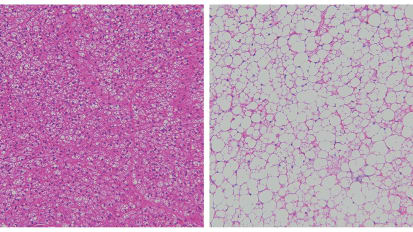
Stimulating fat cells with GIP receptor has potential to treat obesity News

Stimulating fat cells with GIP receptor has potential to treat obesity

Increasing incretin hormone receptor signaling in fat cells prompts massive weight loss in a lab model, UTSW study shows
AI tool helps identify heart failure risk in diabetes patients News

AI tool helps identify heart failure risk in diabetes patients

Machine learning model predicts high-risk diabetic cardiomyopathy, revealing potential for targeted prevention
A powerhouse of obesity research – then and now News

A powerhouse of obesity research – then and now

As weight-loss drugs capture the public’s imagination, UTSW and its Nutrition Obesity Research Center are uniquely positioned to lead the way in discovery, education, and community outreach
The Future of Medicine Sparks Here Video

The Future of Medicine Sparks Here

This is UT Southwestern Medical Center, and this is where a spark happens. Join UT Southwestern Medical Center and find your spark.
Study reveals how estrogen exerts its anti-diabetic effects News

Study reveals how estrogen exerts its anti-diabetic effects

Female sex hormone helps insulin cross blood vessel lining into muscles, lowering glucose, UTSW research shows
Mothers with Diabetes Can Have a Healthy Breastfeeding Experience News

Mothers with Diabetes Can Have a Healthy Breastfeeding Experience

Breastfeeding offers a wealth of benefits both for mothers and their babies. Although diabetes can complicate the process, it does not prevent mothers from giving their babies this wonderful start to life
Dr. Philipp Scherer Named Endocrinology Transatlantic Medalist News

Dr. Philipp Scherer Named Endocrinology Transatlantic Medalist

Philipp Scherer, Ph.D., Professor and Director of the Touchstone Diabetes Center, will deliver the Transatlantic Medal Lecture during the Society for Endocrinology’s annual conference next week.
Defect in Gene Caused Massive Obesity in Mice Despite Normal Food Intake News

Defect in Gene Caused Massive Obesity in Mice Despite Normal Food Intake

A faulty gene, rather than a faulty diet, may explain why some people gain excessive weight even when they don’t eat more than others, UT Southwestern researchers at the Center for the Genetics of Host Defense have discovered.

Showing 1 - 12 of 20 results

Previous| 1 | 2 |Next