Skip to main content

Minimally Invasive Removal of Failed Sacroiliac Fusion Implants

Sacroiliac Fusion Implant
Sacroiliac Fusion Implant
Sacroiliac Fusion Implant

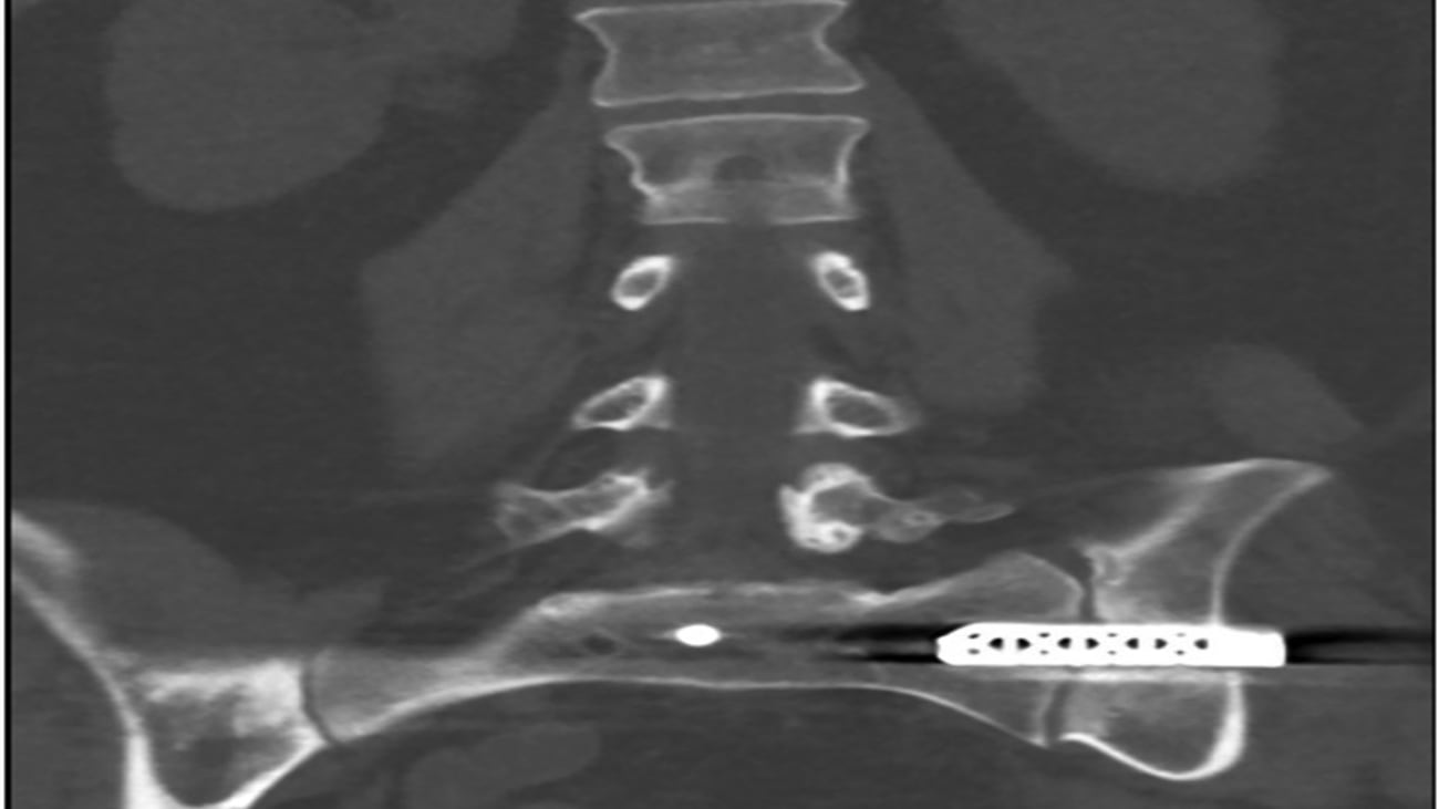
A paper recently published by UT Southwestern Medical Center’s Department of Orthopeadic Surgery discusses surgical management of Sacroiliac joint (SIJ) pain and the reported revision rates as they relate to the large proportion of MIS SIJ fusion procedures being done by non-surgery-trained specialists. An increasing number of these procedures are being performed with the expectation of more revisions and failed implants being referred to orthopedic surgeons and neurosurgeons for removal. The removal process of these implants often depends on the manufacturer’s removal set, whose technique guide is not readily available online in most instances. UT Southwestern orthopaedic surgeons have successfully applied an alternative removal technique to remove iFuse implants that limits bone loss and allows for additional control of blood loss and ease of bone graft application into the void left behind by the implant.